SMILE IN A DAY
Für ein Lächeln, das begeistert.
implaneo ist eine moderne Klinik die sich unter dem Leitsatz „Smile in a Day“ auf hochwertige zahnmedizinische Leistungen und zielführende Sofortversorgungen spezialisiert. Wir verhelfen Menschen mit moderner und ganzheitlicher Zahnmedizin zu echter Lebensqualität – auf direktem Weg, in kurzer Zeit und mit langfristig guten Ergebnissen.
Unsere Zahnimplantate.
Langlebig, verträglich und stabil.
Zahnimplantate bieten eine moderne und nachhaltige Lösung, um fehlende Zähne zu ersetzen – ganz gleich, ob es sich um einzelne Zähne, mehrere Lücken oder einen komplett zahnlosen Kiefer handelt. Gefertigt aus hochwertigen und verträglichen Materialien, dienen sie als künstliche Zahnwurzeln und bilden eine stabile Basis für Ihren Zahnersatz.
Wenn es um Zahnimplantate geht, ist Erfahrung unersetzlich. Unsere Spezialklinik hat in den vergangenen 40 Jahren über 40.000 Implantate gesetzt und setzt im Moment ungefähr 2000 Implantate pro Jahr. Dieser Erfahrungsschatz ist das notwendige Fundament, um auch schwierige Fälle gut versorgen zu können. So können wir zum Beispiel auch Patient:innen mit wenig Knochen beziehungsweise einer schlechten Knochenqualität sicher und schmerzarm mit Implantaten versorgen.
-
Patient:innen mit wenigen oder gar keinen verbliebenen Zähnen können wir mit einer speziellen implaneo-Methode helfen, für feste dritte Zähne an nur einem Tag.
-
Sofortimplantate ermöglichen es uns, nicht erhaltungswürdige, bereits verlorene bzw. gezogene Zähne in über 90% der Fälle ästhetisch und funktional innerhalb nur eines Termins durch ein fest verschraubtes Provisorium wiederherstellen zu können. Der große Vorteil dabei ist, dass wir das Zahnfleisch und den Knochen optimal erhalten können, wodurch der natürliche Heilungsprozess unterstützt wird. Diese Methode ist nicht nur für Einzelzähne, sondern auch für Brücken oder sogar für den gesamten Kiefer (All-on-4/All-on-6/Feste dritte Zähne) geeignet.
-
Frontzahnimplantate bieten eine ästhetische und dauerhafte Lösung für beschädigte oder verloren gegangene Zähne im Frontzahn-Bereich. In nur einer Sitzung entfernen wir den beschädigten Zahn, setzen das Implantat, bauen das verlorene Hart- und Weichgewebe (Knochen und Zahnfleisch) wieder auf und versorgen den Bereich mit einem fest verschraubten Provisorium. Diese Lösung ist auch möglich, wenn der Zahn bereits nicht mehr vorhanden ist.
-
Kurze Implantate werden vor allem im Seitenzahnbereich eingesetzt. Sie ermöglichen häufig, einen Knochenaufbau zu vermeiden und gleichzeitig kritische Strukturen wie die Kieferhöhle und Nerven zu schonen. In der Regel ist die Stabilität nach einer dreimonatigen Einheilungsphase genauso gut wie bei herkömmlichen Implantaten.
-
Keramik-Implantate sind die metallfreie Alternative für besondere biologische Ansprüche. Perfekt für Patient:innen mit Metallunverträglichkeit. Bei Fragen können Sie uns jederzeit ansprechen – wir beraten Sie gerne.
Knochenaufbau
Schonend und modern
Beim Knochenaufbau setzen wir auf minimalinvasive und individuell abgestimmte Lösungen, um den Kieferknochen schonend für Implantate vorzubereiten. In zahlreichen Fällen verwenden wir hochwertige Ersatzmaterialien oder schonend gewonnenen Eigenknochen, wenn dies medizinisch sinnvoll ist. Der Aufbau erfolgt minimalinvasiv, was den Eingriff schmerzarm und besonders schonend macht. Zusätzlich nutzen wir gezielte Maßnahmen, wie den Sinuslift oder schräge Implantate, um auch bei wenig Knochensubstanz stabile Ergebnisse zu erzielen.
-
Mit modernen Techniken können wir Knochen behutsam aufbauen, ohne eine zusätzliche Entnahmestelle zu benötigen. Das Verfahren ist schonend, schmerzarm und ermöglicht in der Regel eine schnelle Heilung.
-
Durch einen Sinuslift oder den Einsatz schräger Implantate umgehen wir kritische Strukturen und schaffen optimale Voraussetzungen für stabilen Zahnersatz – selbst bei wenig vorhandenem Knochen.
-
Mit dem gezielten Einsatz von Eigenblut (PRF) fördern wir den Heilungsprozess und verbessern die Regeneration des Knochens, sodass Implantate schneller integriert werden und eine langfristige Stabilität gewährleistet werden kann.
Zahnästhetik
Natürlich schön.
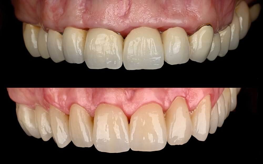
Bei implaneo haben wir uns auf schöne und natürliche Zähne spezialisiert. Mit modernen Verfahren wie Bleaching, hochwertigen Kompositfüllungen und
Keramikinlays verleihen wir Ihrem Lächeln neue Strahlkraft. Unsere handgefertigten Veneers und Keramikkronen sorgen für eine natürliche Zahnform und -farbe. Das Ergebnis wird schon vor der Behandlung virtuell für Sievisualisiert, digital geplant und mit Ihnen besprochen. Durch dieses sogenannte „Backwards-Planning“ zeigen wir Ihnen Ihr fertiges Wunschergebnis, bevor wir es Schritt für Schritt für Sie umsetzen. Ihr zukünftiger Zahnersatz wird dann in einem unserer eigenen Labore mit hoher Präzision und in Handarbeit gefertigt.
-
Unser professionelles Bleaching hellt Ihre Zähne schonend auf und verleiht Ihnen ein strahlendes, natürliches Lächeln. Mit moderner Technologie sorgen wir dafür, dass tief liegende Verfärbungen effektiv entfernt werden, ohne den Zahnschmelz anzugreifen.
-
Mit hauchdünnen keramischen Verblendschalen (Veneers) aus unserem hauseigenen Labor korrigieren wir Form und Farbe Ihrer Zähne und sorgen für ein makelloses Lächeln. Vor der Behandlung digitalisieren wir Ihre aktuelle Situation und machen einen 3D-Scan Ihres Gesichts, was es uns ermöglicht, Ihren digitalen Avatar zu erstellen. In dieses digitale Abbild von Ihnen können wir verschiedene Zahnformen einfügen und Ihnen somit Ihre neuen Zähne bereits vor Beginn der Behandlung zeigen und jedes Detail mit Ihnen besprechen.
-
Natürlich und langlebig: Unsere Keramikkronen und -brücken werden individuell für Sie von unseren Zahntechniker:innen gefertigt und fügen sich nahtlos in Ihre Zahnreihe ein. Dabei verwenden wir verschiedene Arten von Keramik, um die neuen Zähne genau auf Ihr Kauverhalten und Ihre Bedürfnisse abstimmen zu können. Hier trifft Handwerk auf Hightech.
-
Zahnfarbene Füllungen aus hochwertigem Komposit (Kunststoff-Keramik-Mischung) passen sich perfekt an die natürliche Zahnfarbe an und sind nahezu unsichtbar. Sie bieten eine langlebige, ästhetische Lösung für beschädigte oder kariöse Zähne.
-
Ein „Gummy Smile“ liegt dann vor, wenn beim Lächeln viel Zahnfleisch sichtbar ist. Dies wird von Patient:innen häufig als störend empfunden. Auch bei einem unregelmäßigen Zahnfleischverlauf kann das Verhältnis von Zahn und Zahnfleisch durch eine präzise Zahnfleischkorrektur harmonisiert werden. Für ein ästhetisches, selbstbewusstes Lächeln.
Gesundes Zahnfleisch
Die Basis für gesunde Zähne.
Gesundes Zahnfleisch ist die Grundlage für starke Zähne und ein natürlich schönes Lächeln. Zahnfleischrückgang kann zu Schmerzen, ästhetischen Problemen und sogar Zahnlockerungen und -verschiebungen führen, weshalb es wichtig ist, frühzeitig auf Anzeichen von Entzündungen zu reagieren. Mit modernen Behandlungsmethoden legen wir mittels Parodontaltherapie, professioneller Zahnreinigung und schonendem Zahnfleischaufbau ein gesundes Fundament für Ihre Zahngesundheit.
-
Parodontitis ist eine Entzündung des Zahnhalteapparats, sprich des Zahnfleischs und des zahnumgebenden Knochens, bei der durch Bakterien Zahnfleischtaschen um Ihre Zähne entstehen. Bleibt eine Parodontitis länger unbehandelt, kann sie zu Zahnlockerung, -verschiebung und sogar zum Verlust von Zähnen führen. Mit schonenden Methoden reinigen wir tiefenwirksam unter dem Zahnfleisch und stoppen den fortschreitenden Abbau von Gewebe und Knochen. Ziel ist es, Ihre Zähne langfristig gesund und stabil zu halten.
-
Verlust von Zahnfleisch kann neben Parodontitis viele andere Gründe haben. Dies kann zu freiliegenden Zahnhälsen und einem unästhetischen Erscheinungsbild führen. Mithilfe von minimalinvasiven und mikrochirurgischen Techniken stellen wir das Zahnfleisch wieder her und sorgen für ein harmonisches Lächeln. So schützen wir empfindliche Zahnbereiche, stärken die Funktionalität und verbessern die Ästhetik.
Prophylaxe
Mit Fachwissen und Feingefühl.
Unser Prophylaxe-Team besteht ausschließlich aus erfahrenen Dentalhygienikerinnen, die eine umfassende, dreijährige Weiterbildung in Vollzeit abgeschlossen haben. Durch unsere Erfahrung können wir Ihnen ein maßgeschneidertes Konzept zusammenstellen, das individuell auf Ihre Bedürfnisse abgestimmt ist. Mit moderner Technologie, einer professionellen Zahnreinigung und viel Feingefühl garantieren wir eine besonders schonende und effektive Versorgung.
-
Unsere professionelle Zahnreinigung (PZR) sorgt für rundum saubere und gesunde Zähne. Mit speziellen Geräten entfernen wir schonend Beläge, Verfärbungen und Bakterien – auch an schwer erreichbaren Stellen. Unsere Zahnreinigung arbeitet mit bioverträglichen, natürlichen Präparaten und ist ideal, um Zahnfleischproblemen vorzubeugen und Ihr strahlendes Lächeln zu erhalten.
NEU:
Bio-Zahnreinigung – sprechen Sie für nähere Informationen gerne unser Dentalhygiene-Team an. -
Mit einer Zahnversiegelung schützen wir Ihre Zähne vor Verfärbungen und Bakterien. Die glatte, transparente Schicht macht die Zahnoberfläche widerstandsfähiger gegen äußere Einflüsse und sorgt für einen natürlichen Schutz. Perfekt für langanhaltende Zahngesundheit und eine gesunde Mundhygiene.
Digitale Zahnmedizin
und Service
Unsere Klinik und unser Zahnlabor arbeiten volldigital – mit modernen Workflows und Hightech-Ausstattung auf dem aktuellen Stand.
Mit Hilfe von KI und der Erstellung eines digitalen Patient:innen-Avatars können wir Ergebnisse bereits vor Behandlungsbeginn für Sie visualisieren. Durch CAD/CAM-Technologie und digital erstellte Schablonen maximieren wir die Präzision und stellen sicher, dass das Ergebnis genau Ihren Erwartungen entspricht.
-
Für jede Patientin und jeden Patienten wird bei implaneo ein digitaler Avatar erstellt. Zu diesem Ziel erstellen wir zunächst einen 3D-Scan des Kopfs sowie ein 3D-Röntgenbild und Scans der Zähne. Diese Daten kombinieren wir zu einem vollständigen 3D-Avatar, der uns präzise Einblicke in die Kieferbewegungen, den Knochenaufbau und die Zahngesundheit gibt.
-
Mit KI-gestütztem Design visualisieren wir das Endergebnis der Behandlung, sodass Sie ihr neues Lächeln schon vor Behandlungsbeginn begutachten können. Durch dieses sogenannte „Backwards-Planning“ können wir den Behandlungsprozess umkehren – wir starten mit dem Ergebnis und arbeiten dann Schritt für Schritt gezielt darauf hin. Das garantiert sowohl unserem Team als auch Ihnen ein hohes Maß an Sicherheit.
-
Mit dreidimensionalem Röntgen erhalten wir ein präzises Bild des gesamten Kiefers und der Zahnstrukturen. Dies ermöglicht es, kritische Bereiche, wie Nerven und Kieferhöhlen, besser zu erkennen und Behandlungen sicher zu planen. Es ist eine zuverlässige Grundlage für unseren digitalen Avatar und somit für eine exakte Diagnostik und individuell abgestimmte Therapie.
-
Der 3D-Zahnscan erfasst Zähne und Zahnfleisch digital und detailgenau – ganz ohne Abdruck. So können wir Zahnsituationen analysieren und Behandlungspläne visuell veranschaulichen. Für absolute Transparenz und lückenlose Planungssicherheit.
-
Die digitale Implantatplanung kombiniert 3D-Daten des Kiefers und der Zähne, um Implantate genau zu navigieren und zu positionieren. Diese Methode erhöht die Präzision und minimiert Risiken während des Eingriffs. Durch die Visualisierung des Ergebnisses können Sie die Planung nachvollziehen und profitieren von hoher Sicherheit beim Setzen des Implantats.
-
Für alle, die Behandlungen lieber verschlafen möchten: In unserer Klinik bieten wir Eingriffe unter Vollnarkose an – sicher, kontrolliert und begleitet durch erfahrene Anästhesist:innen. So lassen sich auch komplexe Eingriffe entspannt durchführen. Für maximale Ruhe – und minimalen Stress.
-
Zahnarztangst ist kein Grund, Behandlungen aufzuschieben. Mit viel Einfühlungsvermögen, klarer Kommunikation und modernen Verfahren schaffen wir eine vertrauensvolle Atmosphäre. So nehmen wir die Angst – und bringen Sicherheit zurück.
Ergebnisse, die für sich sprechen.
Sie möchten sehen, was wir für unsere Patient:innen tun? Schauen Sie gerne in unserer Vorher-Nachher-Galerie vorbei.